
© Laboratori Diadema Roma
FOTOGALLERIA
Una selezione di casi reali di allineatori trasparenti che raccontano la qualità e la precisione del nostro lavoro.
Ogni risultato nasce da una sinergia tra tecnologia digitale e competenza dei nostri esperti ortodontisti che progettano il piano di trattamento.
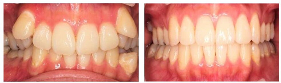
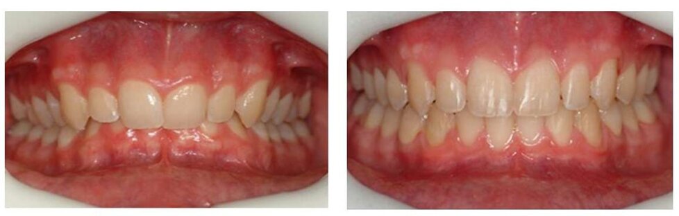
AFFOLLAMENTO

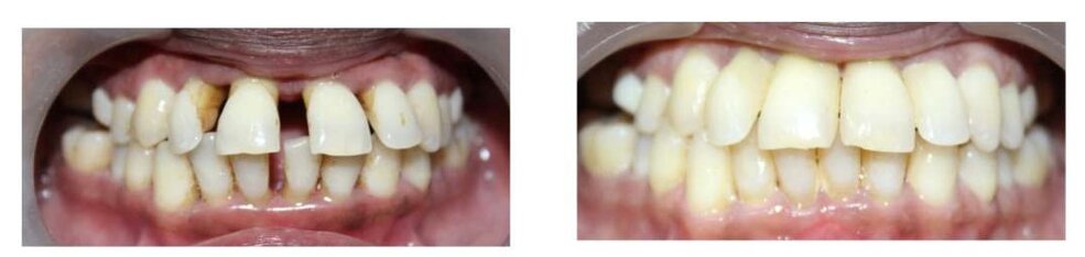
SPAZIO TRA I DENTI

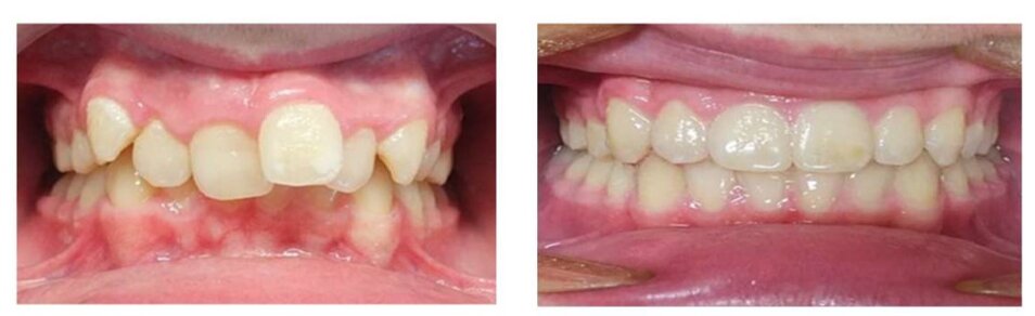
AFFOLLAMENTO E PROCLINAZIONE


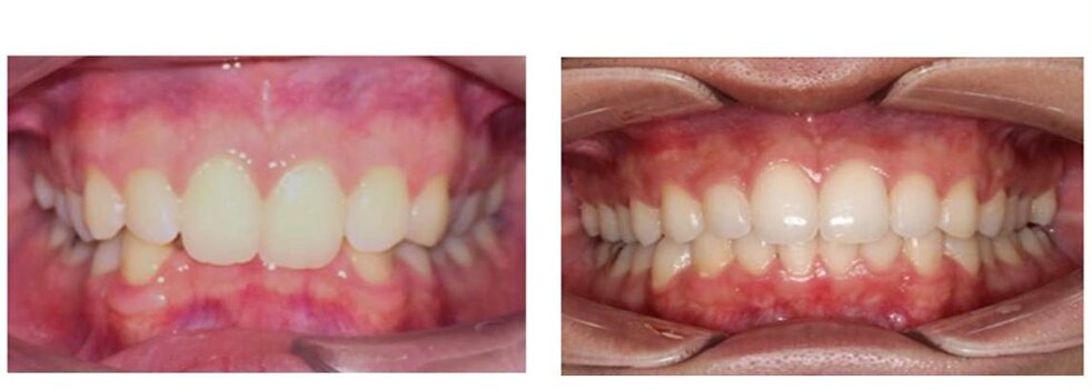
MORSO PROFONDO
MORSO PROFONDO

MORSO INCROCIATO ANTERIORE

PARADONTALMENTE COMPROMESSO
